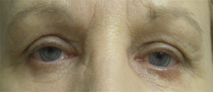
EYELID MICROSURGERY

3.1
3.2
BEFORE
AFTER
<<Previous  
  Next>>